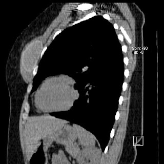
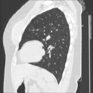
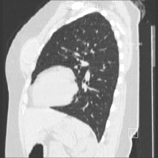
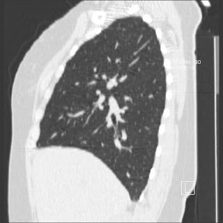
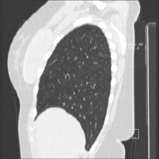
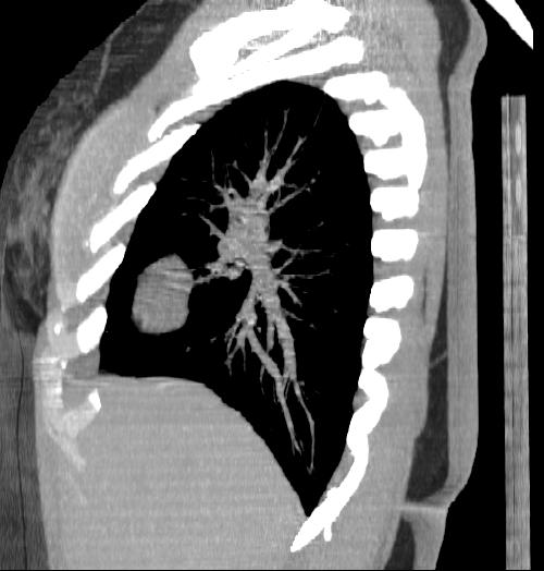
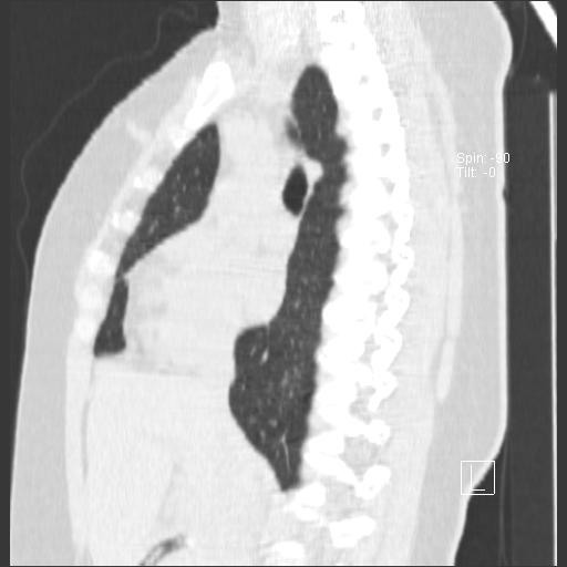
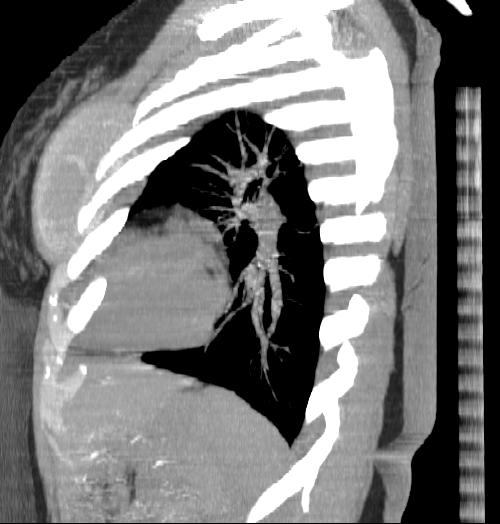
New CT images (without contrast) for 40 year old female with silicone breast implants. Formal diagnosis is expected soon. Images from 2010 can be seen here http://radiology-images.blogspot.com/p/40-year-old-female-silicone-implants.html
This web-page is dedicated to women with breast implants and their children. You may find radiology images and symptom information. Also images related to physical symptoms taken by the patient himself. Click on images for a larger view. At the moment all patients are from Iceland. The medical and radiological examination conducted at the time did not lead to diagnose. For larger view - click on image.
Comments
Please don't hesitate comment. All ideas and thoughts are highly appreciated. It is open for anonymous feedbacks if preferred.
Subscribe to:
Post Comments (Atom)






















































































































































































































































































No comments:
Post a Comment