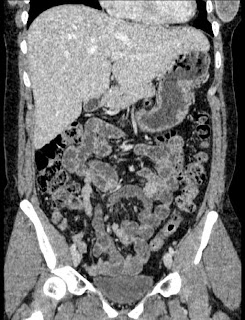
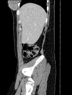
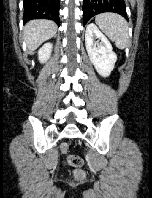
44 year old female with a long medical history. Undergone repeated surgeries for prox. 30 years. Not always fully understood what the purpose has been or expected outcome from all the procedures.
2009
2010
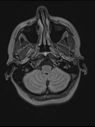
MRI August 2010.
Diagnose: There is no evidence to suspect that this patient may have an active phase of disease.















































































































































































































































































































































































No comments:
Post a Comment